Masseter Guard, Orofacial Pain Device
Oral Device Simulating Thumb-Applied Masseter Stretch for Passive Orofacial Pain Relief
Industrial Design, Engineering, Oral Device, Autodesk Fusion 360, Ergonomic Design, Medical Device Design, CAD
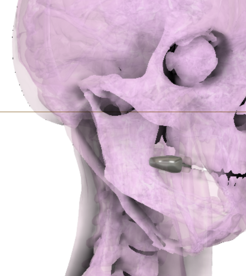
Allon designed an oral device that can passively mitigate chronic orofacial pain by simulating a common TMJ/orofacial pain physical therapy thumb-applied masseter stretch/exercise.
Being able to implement this exercise through means other than with one's own hand is meant to be both more "normal-feeling" and hygenic for a prospective user.
It is designed to be manufactured similar to typical retainers and bite guards. The prototype is as follows in the images below.

3/4 View, Masseter Guard

Side View, Masseter Guard

Front View, Masseter Guard